dinsdag, 20. juni 2017 - 09:45 Update: 09-04-2025 09:10

Meisje (13) krijgt eerste ‘3D-heup’

Meisje (13) krijgt ‘3D-heup’
Foto: OLVG
Amsterdam

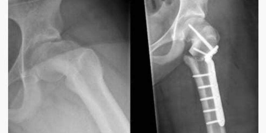
Voor het eerst in Nederland is een 3D-geprinte plaat gebruikt om een ‘afgegleden heupkop’ te corrigeren. Orthopedisch chirurg Melinda Witbreuk van OLVG Amsterdam plaatste het plaatje op de heupkop van een 13-jarige patiënt. Hiermee is de scheefstaande heup flink gecorrigeerd en kan het 13-jarige meisje straks een stuk beter lopen.

‘Met de 3D-print van de heup was het mogelijk om voor de operatie een plaat te maken die precies bij deze heupkop past. Hiermee konden we de heup beter corrigeren en staat het been van de patiënt een stuk rechter. Een verbetering in vergelijking met de gangbare methode’, aldus dr. Melinda Witbreuk van OLVG.

Van 2D naar 3D

Tot nu toe werden operaties aan de heupkop ‘op het oog’ uitgevoerd. Met een 2D-röntgenfoto werd bekeken waar de correctie moest plaatsvinden. De heup werd vervolgens gecorrigeerd met een standaard plaat. Sinds enkele jaren gebruiken orthopeden een 3D-CT-scan voor een betere pre- en operatieve planning.

Perfect passende plaat

In de voorbereiding op deze operatie heeft kinderorthopeed Melinda Witbreuk een 3D-geprint model van de heup laten maken via het 3D- innovation lab in het VUmc. Zo kon er een exact passende plaat voor een zo optimaal mogelijke correctie worden gemaakt. Ook de titanium plaat voor de correctie komt uit een 3D-printer.

Gebruik van 3D

Tijdens medische opleidingen wordt 3D-techniek al langere tijd ingezet. Zo kan er op ware schaal en in 3D worden geoefend. Het daadwerkelijk plaatsen van 3D-geprint materiaal is nieuw voor dit type operatie.

OLVG is verbonden aan Kinder Orthopedisch Centrum Amsterdam (KOCA) een samenwerkingsverband van acht kinderorthopeden in OLVG, VUmc en AMC.
Dr. Melinda Witbreuk promoveerde op de afgegleden heupkop. Ze is voorzitter van de werkgroep kinderorthopedie en is actief bij de Europese kinderorthopedische vereniging betrokken.