Het UMCG is een onderzoeksproject gestart waarin niet fitte patiënten, die een grote buikoperatie moeten ondergaan wegens een kwaadaardige lever- of
Het UMCG is een onderzoeksproject gestart waarin niet fitte patiënten, die een grote buikoperatie moeten ondergaan wegens een kwaadaardige lever- of
In het Elisabeth-TweeSteden Ziekenhuis (ETZ) in Tilburg is voor het eerst in Nederland zonder operatie de maag van een patiënt verkleind. De gastric sleeve is
Preventieve antibiotica voor patiënten bij wie een schroef of plaat uit hun onderbeen moet worden verwijderd, zijn zinloos. Ze helpen niet tegen wondinfecties
Patiënten met een lage spiermassa ontwikkelen na een operatie meer complicaties, knappen minder snel op en lopen een grotere kans om te overlijden na de ingreep
Patiënten die herstellen van een operatie ervaren minder pijn wanneer ze hebben geluisterd naar live muziek.
Woensdagavond zendt Omroep MAX op NPO 1 om 21.25 uur Operatie Live uit vanuit het St. Antonius Ziekenhuis Nieuwegein. 'De operatie die tijdens de uitzending
Dikkedarm- en endeldarmkanker is wereldwijd de op één na meest voorkomende kankersoort. Ongeveer de helft van de patiënten krijgt uitzaaiingen in de lever. Tot
Apparaten uit een fabriek in Duitsland hebben tijdens openhartoperaties meer dan honderd patiënten met de bacterie Mycobacterium chimaera besmet. Dit blijkt uit
In het UMCG is onlangs een kind succesvol geopereerd aan een aangeboren hartafwijking via een kleine opening (sleutelgat) in de borstkas. Deze ‘heartport‘
Er komt een periode van bezinning voor de werkzaamheden om de Basisregistratie Personen te moderniseren, de operatie BRP (oBRP). Minister Plasterk van
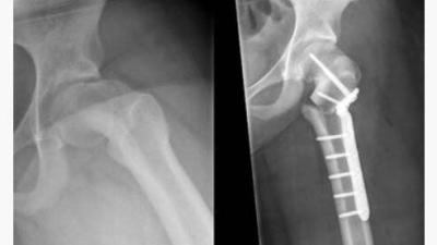
Voor het eerst in Nederland is een 3D-geprinte plaat gebruikt om een ‘afgegleden heupkop’ te corrigeren. Orthopedisch chirurg Melinda Witbreuk van OLVG
Presentatrice Nicolette Kluijver schrijft op haar Instagram-account dat zij gisteren het beste nieuws uit haar leven heeft gekregen. ‘Ik ben officieel schoon
Een 25 jaar oude zeeschildpad in Thailand bleek een zwemmende 'spaarpot' te zijn toen op een röntgenfoto zichtbaar werd dat hij honderden muntjes in zijn maag
Een operatie waarbij de patiënt dezelfde dag naar huis kan, blijkt in veel gevallen zwaarder te vallen dan mensen vooraf verwachten. Dat concludeert
Het nu 41-jarige chimpansee mannetje in Burgers' Zoo, die in 2002 werd gesteriliseerd, is vrijdag met een operatie weer vruchtbaar gemaakt. Dit heeft het
Bij tot een derde van de patiënten die klachten hebben van galblaasstenen wordt de galblaas onnodig verwijderd. Na de operatie verdwijnen de klachten niet. Wél
VVD-Kamerlid Fred Teeven moet in januari een hersenoperatie ondergaan en zal daarom eerder dan gepland stoppen met zijn werkzaamheden in de Tweede Kamer.
Bij duizenden patiënten per jaar worden zenuwen in het bekken beschadigd tijdens
Om zich nog beter op een moeilijke operatie van botbreuken te kunnen voorbereiden hebben traumachirurgen van het Elisabeth-TweeSteden Ziekenhuis (ETZ) in